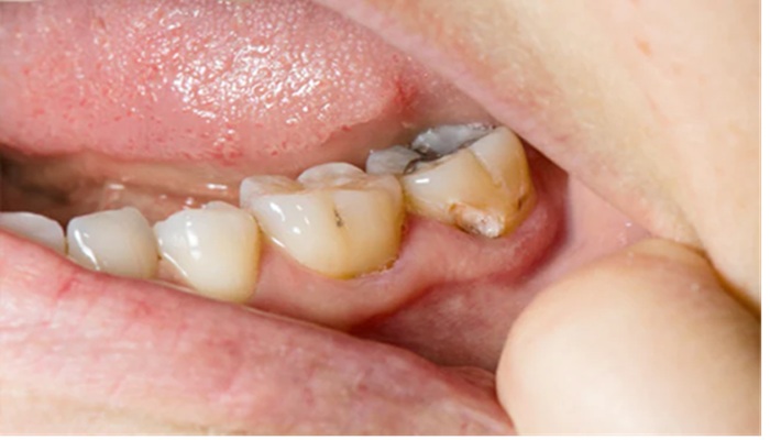
Oral Health: कैविटी सिर्फ दांतों की सड़न नहीं! इलाज नहीं कराया तो बनेगी बड़ी बीमारियों की वजह


Oral Health Care: अक्सर हम अपनी ओरल हेल्थ को सिर्फ सुंदर मुस्कान या चमकते दांतों तक सीमित मानते हैं, लेकिन क्या आप जानते हैं कि आपके दांत आपकी पूरी सेहत का आईना भी हैं? जी हां, दांतों में होने वाली कैविटी यानी सड़न, सिर्फ मुंह की समस्या नहीं होती, बल्कि यह शरीर के अंदर चल रहे कई असंतुलनों का संकेत भी हो सकती है (Poor Oral Hygiene Major Diseases)। इस बारे में विस्तार से जानते हैं।
मुंह में बसते हैं अरबों बैक्टीरिया | Oral Health Care
हमारे मुंह में अरबों की संख्या में बैक्टीरिया मौजूद रहते हैं। जब हम सही तरीके से ब्रश या फ्लॉस नहीं करते, तो ये हानिकारक जीवाणु तेजी से बढ़ने लगते हैं। यही बैक्टीरिया न केवल दांतों में सड़न और मसूड़ों की सूजन पैदा करते हैं, बल्कि शरीर में सूजन (Inflammation) बढ़ाकर कई गंभीर बीमारियों का कारण भी बन सकते हैं।
कैविटी का असर सिर्फ दांतों तक नहीं | Oral Health Care
शोध बताते हैं कि खराब ओरल हेल्थ का सीधा संबंध डायबिटीज, हार्ट डिजीज, सांस से जुड़ी बीमारियों और गर्भावस्था के दौरान जटिलताओं से हो सकता है। अगर मसूड़ों में लगातार सूजन बनी रहती है, तो यह शरीर में सूजन का स्तर बढ़ाती है, जिससे दिल को नुकसान पहुंचने का खतरा बढ़ जाता है। वहीं, जिन लोगों को डायबिटीज है, उनमें दांतों की सड़न का खतरा और बढ़ जाता है, क्योंकि उनके लार की गुणवत्ता और शुगर लेवल बदल जाते हैं। यह बैक्टीरिया को बढ़ने के लिए आदर्श माहौल देता है।

मुंह बताता है शरीर का हाल | Oral Health Care
हमारे दांत और मसूड़े हमारे शरीर की स्थिति के सटीक संकेतक होते हैं। अगर शरीर में पोषण की कमी है, तनाव बढ़ा हुआ है या इम्यून सिस्टम कमजोर है, तो ये लक्षण सबसे पहले हमारे मुंह में दिखाई देने लगते हैं- जैसे मसूड़ों से खून आना, मुंह के छाले या बार-बार कैविटी होना।
कैसे रखें ओरल हेल्थ को बेहतर? | Oral Health Care
कैविटी से बचाव सिर्फ एक सुंदर मुस्कान के लिए नहीं, बल्कि बेहतर सेहत के लिए भी जरूरी है। इसके लिए कुछ आसान आदतें अपनाना बहुत फायदेमंद हो सकता है:

-
-दिन में दो बार ब्रश करें, खासकर रात को सोने से पहले।
-
-मीठे और प्रोसेस्ड फूड्स का सेवन सीमित करें।
-
-हर छह महीने में एक बार डेंटल चेकअप जरूर कराएं।
-
-भरपूर पानी पिएं और बैलेंस डाइट लें जिसमें विटामिन और मिनरल्स पर्याप्त मात्रा में हों।




