Day: November 3, 2025
-
ग्रूमिंग टिप्स
Migraine: छोटी-छोटी गलतियां बढ़ाती हैं बड़ी समस्या, जानिए किन वजहों से होता है माइग्रेन अटैक
सिर में दर्द होना बहुत आम है। तनाव-चिंता, काम के दबाव या फिर कुछ प्रकार की प्रतिकूल परिस्थतियां सिर में…
Read More » -
ग्रूमिंग टिप्स
Alert! रात में सिर के पास मोबाइल रखकर सोना सेहत के लिए हो सकता है खतरनाक
बहुत से लोगों को सुबह सिर में और आंखों में दर्द होता है। अक्सर लोगों को लगता है देर से…
Read More » -
ग्रूमिंग टिप्स
Stomach Gas: गैस से पाना है छुटकारा? अपनाएं ये घरेलू नुस्खा; जल्द दिखेगा असर
पेट में गैस बनना पाचन से जुड़ी सबसे आम समस्या है. आमतौर पर लोगों को इस परेशानी का सामना खाना…
Read More » -
ग्रूमिंग टिप्स
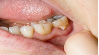
Oral Health: कैविटी सिर्फ दांतों की सड़न नहीं! इलाज नहीं कराया तो बनेगी बड़ी बीमारियों की वजह
अक्सर हम अपनी ओरल हेल्थ को सिर्फ सुंदर मुस्कान या चमकते दांतों तक सीमित मानते हैं, लेकिन क्या आप जानते…
Read More » -
ग्रूमिंग टिप्स
Vitamin B12 की कमी के लक्षणों को जानिए, डाइट में शामिल करना क्या जरूरी?
आज के समय विटामिन बी 12 की समस्या बेहद आम हो चुकी हैं. खासकर शाकाहारी लोगों में विटामिन बी 12…
Read More »